+4º
пасмурно
ветер 4,4 м/с, СЗ

Реклама: ООО "ОЛЕАНДР-МЕД", ИНН 9111026025

Реклама: Самозанятый Вандышев Александр Николаевич, ИНН 911113162887

Реклама: ИП Бережной А.Г., ИНН 911116150093

Реклама: ООО "ПРАВИЛЬНОЕ РЕШЕНИЕ", ИНН 9111022567

Реклама: ООО "Похоронный дом "Феникс", ИНН 9111027526

Реклама: ИП Кравченко Е. Л., ИНН 911109375963

Реклама: ИНН 910806164654 - ИП Лукьянова А.А.

Реклама: ООО "ПРАЙМЕР", ИНН 9102054851

Архив
«    Март 2017    »
ПнВтСрЧтПтСбВс
 12345
6789101112
13141516171819
20212223242526
2728293031 
17.03.2017 15:00 2 613 Новости » Бизнес новости

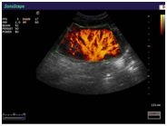
Ультразвуковая диагностика Эксперт-класса!

Только в Медицинском центре «АКВА МЕД МАРИН» первый и единственный в городе ультразвуковой диагностический сканер Экспертного класса SonoScape S40Exp

УЗИ - это неинвазивный и безболезненный метод исследования состояния органов и тканей при помощи ультразвуковых волн. Ультразвуковые исследования основаны на способности ультразвука «отражаться» от внутренних органов и тканей, которые имеют различную плотность. Отраженные эхосигналы поступают в усилитель и специальные системы реконструкции, после чего появляются на экране телевизионного монитора в виде изображения.

 

Области применения:

- Хирургия

- Костно-мышечная система

- Инвазивные процедуры

- Транскраниальные исследования

- Щитовидная железа

- Молочная железа

- Нейрохиругия

- Кардиология

- Педиатрия

- Неонатология

- Нейросонография

- Сосуды

- Брюшная полость

- Гинекология

- Акушерство

- Урология

 

 

 

 

 

Компания SonoScape  уделила особое внимание допплеровским режимам и является экспертом в своем классе, что позволяет с легкостью, но в то же время с уникальной точностью проводить исследования с постановкой наиболее точного диагноза.

На сегодняшний день УЗИ аппараты  в Медицинском центре «АКВА МЕД МАРИН» оснащены многофункциональными датчиками, что дает возможность проводить исследования широкого спектра.

 

Подготовка к УЗ - исследованию

УЗИ органов брюшной полости (ОБП):

  • за 2-3 дня до исследования необходимо соблюдать диету: не употреблять в пищу продукты дающие газообразование, свежие овощи, фрукты;
  • обязательно натощак.

УЗИ мочеполовой системы:

  • обязательным условием должно быть наполнение мочевого пузыря, так как данный орган служит «акустическим окном» для визуализации исследуемых органов (матки, предстательной железы). За 1-1, 5 часа до исследования необходимо выпить около 1 литра негазированной (!) жидкости.

Безопасность и риски

Ультразвуковые исследования не несут лучевой нагрузки на организм.

УЗИ является одним из самых популярных и недорогих методов исследования органов и систем человека.

Преимущества УЗИ перед другими методами диагностики:

  • безопасность и безболезненность;
  • многофункциональность (с помощью УЗ волн можно оценить состояние органов брюшной полости, малого таза, проанализировать состояние сосудов и кровоток в венах и артериях мозга, шеи, верхних и нижних конечностях во время одного посещения врача);
  • быстрота (пациент получает диагностическое заключение врача, через 5-10 минут, после окончания обследования);

Аппаратура и наши исследования

 

 

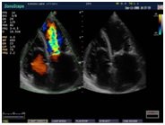
Ультразвуковые исследования, доплеровское сканирование сосудов в Медицинском центре «АКВА МЕД МАРИН» выполняется при помощи первого и единственного аппарата в Керчи SonoScape S40Exp (экспертного класса, который оснащен множеством новейших функций, многократно улучшающих качество и информативность УЗИ-исследования).

В Медицинском центре «АКВА МЕД МАРИН» при помощи профессиональной аппаратуры, проводится:

  • абсолютно полный перечень исследований :
  • сосудов головного мозга;
  • сосудов верхних и нижних конечностей;
  • поджелудочной железы;
  • печени;
  • брюшной полости;
  • почек;
  • щитовидной железы;
  • лимфоузлов;
  • слюнных желез;
  • суставов;
  • органов мошонки;
  • инородных тел, грыж;
  • молочных желез;
  • органов малого таза;
  • доплерография сосудов внутренних органов;
  • мышечных тканей (кожа, подкожная клетчатка, мышцы);
  • многостороннее исследование сердца, при помощи специального набора кардиологических функций;
  • исследования артериальных и венозных сосудов практически в любой области тела, при помощи 7 различных режимов допплерографии сосудов;
  • детальное УЗИ плода.

А также:

  • расширенное цветовое допплеровское картирование;
  • автоматический сегментный анализ движения миокарда;
  • тканевой допплер;
  • CW допплер на линейных датчиках;
  • режим замедленной перемотки для тщательного исследования работы сердца;
  • 3D/4D режим сканирования;
  • Соноэластография.

Получение результатов:

Никаких ограничений Вашего привычного режима после исследования не нужно.

Полученные изображения подвергаются тщательному анализу врача ультразвуковой диагностики, с целью получения диагностического заключения.

Результаты исследования выдаются в течение 1-го дня любым удобным для пациента способом:

  • из регистратуры;
  • по электронной почте.

 

Медицинский центр «Аква Мед Марин» специализируется на предоставлении следующих услуг

Консультации узких специалистов:            

  • Уролог;
  • Гинеколог;
  • Нефролог;
  • Невропатолог;
  • Отоларинголог (ЛОР);
  • Офтальмолог;
  • Хирург;
  • Сосудистый хирург;
  • Эндокринолог;
  • Терапевт;
  • Дерматовенеролог;
  • Кардиолог;
  • Травматолог;
  • Онколог;
  • Педиатр;
  • Детский невропатолог;
  • Детский хирург
  • Детский ортопед.

Медицинские (профилактические) осмотры:

  • Медицинские комиссии для моряков с выдачей международных сертификатов для работы на морских и речных судах. Прививка вакциной против «Желтой лихорадки»;
  • Медицинская комиссия водолазов;
  • Предварительный (периодический) медицинский осмотр, работающих во вредных и опасных условиях труда;
  • Медицинская комиссия декретированного контингента;
  • Медицинский осмотр кандидатов в водители и водителей транспортных средств всех категорий;
  • Медицинское освидетельствование граждан для выдачи лицензии на право приобретения, ношения и использования оружия;
  • Медицинская комиссия государственных служащих;
  • Медицинская комиссия (форма 086/у);
  • Медицинская комиссия для трудоустройства.

 

Фиброгастродуоденоскопия :

  • проведение биопсии;
  • гистологические исследования;
  • уреазный тест.

 

Полный спектр лабораторных исследований, в том числе:

  • Общеклинические анализы;
  • Биохимические исследования;
  • Определение группы крови, резус-фактора, ВИЧ, гепатиты.

 

Функциональные исследования:

  • Периметрия (определение полей зрения);
  • Офтальмоскопия (осмотр глазного дна);
  • Биомикроскопия;
  • Тонометрия (измерение внутриглазного давления;
  • Аудиометрия (измерение слуха);
  • Исследования вестибулярного аппарата;
  • Виброчуствительность;
  • Динамометрия;
  • Холодовые пробы;
  • Цветоощущение;
  • Спирограмма;
  • Электрокардиография (ЭКГ);
  • Флюорография.

 

Запись на прием осуществляется по телефонам:

+7 (978) 8  47 47 14

+7 (918)  921 25 91

+7 (978) 400 54 17

 

Мы находимся по адресу: г.Керчь, ул. Кирова, 31А (остановка Еременко)

 

 

 

 

Если вы увидели опечатку в тексте самой статьи, то выделите её и нажмите Ctrl+Enter.

Добавить комментарий
Информация
Комментировать статьи на сайте возможно только в течении 10 дней со дня публикации.

Реклама на ФМ

Реклама: ИП Кучеренко Э.В., ИНН 911100186665

Изготовление памятников

Реклама: ИП Кара - Иванов Ф. Л., ИНН 911108712253

Реклама: ИП Афанасьева Е. А., ИНН 911113720429

Реклама: Оценщик Ляхнова Е. И., ИНН 911110909930

Реклама: ИП Цинтынь Е. В. , ИНН 911100113579

Реклама: ИП Овчаренко Ю.В. , ИНН 911112324542

Реклама: ИП Киргетова Д. С., ИНН 9 111 097 444 66

Реклама: ООО "Промэлектроконтакт", ИНН 9102018701

Реклама: ИП Новиков Е. В., ИНН 911100059635

Магазин «AUTOРАЙ» в Керчи!

Реклама: ИП Аникин Д.А., ИНН 911108952720

Реклама: ООО "АКР", ИНН 9111029178

Реклама: ИП Горбунова Е.Г., ИНН 911103181168

Реклама: ИП Джум Д.А., ИНН 911111080237

Реклама: Гераскевич Галина Валерьевна , ИНН 911104425868

Фабрика натяжных потолков «Виктория»

Реклама: ИП Бережной А.Г., ИНН 911116150093

Наверх